华声在线2月3日讯(全媒体记者 李琪 通讯员 余杨 实习生 刘杰)春节期间,来自湖南邵阳的王先生一直心有不安,他早产的宝宝一出生竟然出现白肺。经过省妇幼新生儿一科积极治疗后,今日得知孩子转危为安,王先生悬着的一颗心终于落下了。
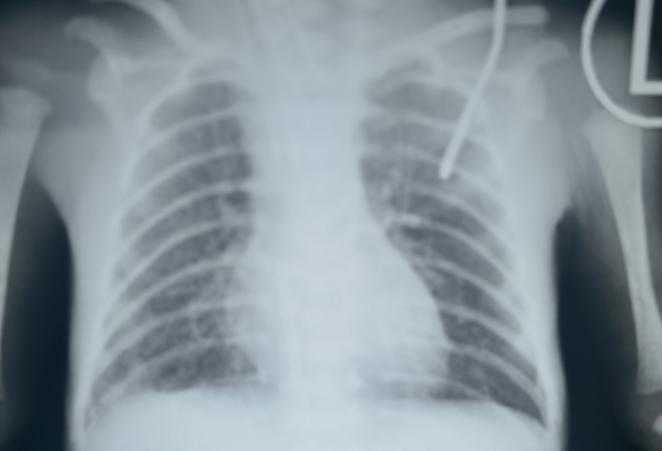
1月23日,当所有的人在欢度新春佳节时,王先生陪同怀孕27周的爱人来长沙走亲戚,结果爱人出现早产症状,提前在省妇幼分娩了。孩子胎龄小,生后出现呼吸困难,入住新生儿科。随后拍了胸片,医师告诉他孩子出现白肺,需要呼吸机来帮助通气,不然呼吸会很困难,甚至有生命危险。
为什么刚出生的宝宝也会白肺?省妇幼保健院新生儿一科彭湘莲主任医师介绍:引起白肺的原因很多,比较常见的有严重的肺水肿、肺不张、肺梗死,以及严重的肺部炎症。比如最近新冠感染后的重症肺炎患者,肺泡被炎症渗出物充满,导致严重缺氧。
早产儿早期的白肺,是因为肺发育不成熟,其肺表面活性物质不足导致进行性肺不张,生后数小时内气促等呼吸困难进行性加重,医学上称新生儿呼吸窘迫综合。该病一般多见于胎龄小于32周的早产儿。另外,如果孕母患妊娠期糖尿病、未发作行择期剖宫产、围产期窒息缺氧、重度血型不合溶血病、先天性基因缺陷等情况时,也会发病。
彭湘莲表示,白肺患者是新生儿重症监护病房的危急重症,往往需要气管插管,用呼吸机来帮助通气。随着NICU诊治能力的提高,经积极治疗,配合适宜的早产儿系统管理和监护后,多数患儿呼吸困难逐步缓解,呼吸机逐渐撤离。
如何预防?彭湘莲表示,首先预防早产发生,孕妇加强孕期保健和定期监测。对孕母合并围产期疾病的,如妊娠期糖尿病,应尽可能给与综合治疗。预计可能会发生早产的孕妇,尽可能给与宫内转诊至有诊治早产儿条件的区域性围产医学中心待产。
(宝宝肺部治疗前和治疗后的照片。)
责编:刘畅畅
来源:华声在线



