华声在线2月9日讯(全媒体记者 周倜 通讯员 吴靖 郭文韬)“原来我体内这个‘气球’有这么大!这次我下定决心得把烟戒了……”今日,仍在湖南省人民医院住院的娄底市民刘先生气色明显好了不少,体内的“大气球”被成功摘除,他心里终于踏实了。
这个“大气球”,其实是长在他体内的肺大疱。所谓肺大疱,是因肺泡内压力升高,肺泡壁破裂互相融合形成巨大的囊泡状改变。
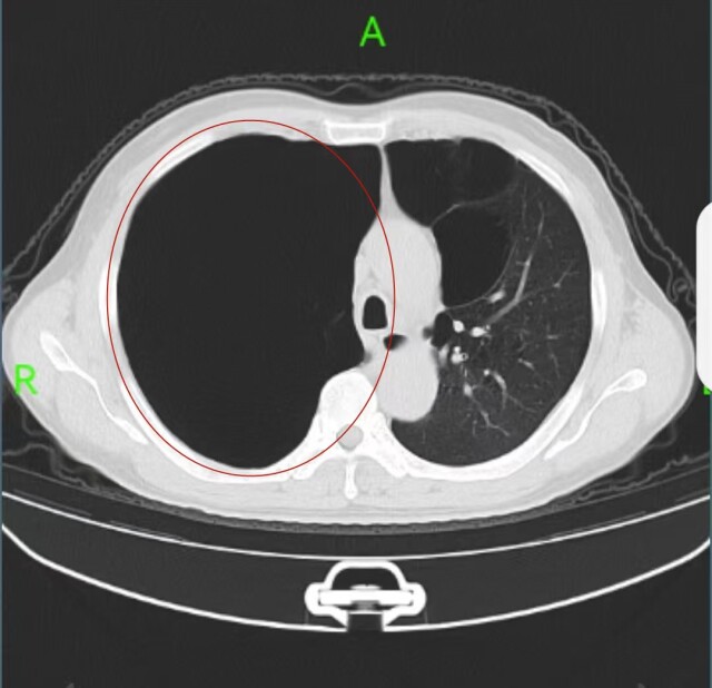
一般而言,无症状肺大疱无需治疗,但刘先生体内这个可不一般。“当时他自述感觉胸痛厉害、呼吸困难,我们检查后,着实吓了一跳,太大了!”该院胸外二病区主任周亚夫介绍,刘先生双肺长了多个肺大疱,特别是右肺内的肺大疱足有20×19×13cm大小,像一个气球一样,占据了右肺90%以上的空间,整个右肺如同消失不见,必须马上手术。
2月7日,刘先生接受了手术治疗。手术很顺利,“大气球”被成功摘除;效果很显著,术后第二天,其右肺已经恢复了70%。
“刘先生这样巨大的肺大疱,除了其本身的特异性外,与其40年的抽烟史有关,更何况,他在三年前已经被确诊慢性阻塞性肺疾病、肺大疱,这次变成巨大肺大疱,也与其过往病史有关。”周亚夫介绍,烟民大多数患有慢性支气管炎,不良的生活习惯如抽烟会导致肺大疱的产生。
“因此,戒烟是预防肺大疱的重要措施。当然,日常生活中也要注意均衡营养、劳逸结合。无症状肺大疱一般无需治疗,但当出现明显呼吸困难或感染、气胸反复发作时,需要及时治疗。”他提醒道。
(一审:周倜;二审:胡宇芬;三审:杨又华)
责编:朱倩萱
来源:华声在线



