华声在线3月16日讯(通讯员 雷丽萍 朱文青 全媒体记者 谭雨欣)“我妈妈下肢有知觉了!谢谢每一位关心我们,帮助过我们的医生、护士。”3月15日,20岁的李丽云(化名)背着妈妈来到长沙市中心医院(南华大学附属长沙中心医院)耐药结核科复查,治疗了一年,李丽云妈妈的下肢终于开始恢复知觉了,这让大家都开心不已。
据了解,李丽云的父亲早逝,她和母亲王家红(化名)相依为命。王家红是浏阳当地一名工厂工人,2022年2月开始出现腰背部隐痛的症状,弯腰活动、负重时尤为明显,后来又出现双下肢乏力症状,严重到起床及行走都困难。
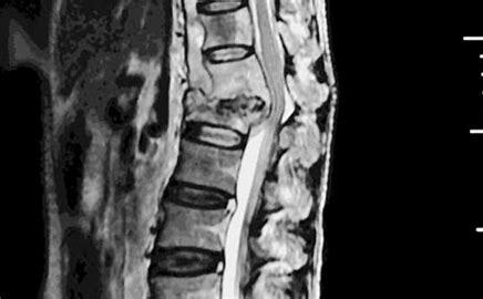
经过诊断,王家红确诊脊柱结核、耐多药肺结核等多器官结核。因结核杆菌侵蚀破坏胸椎骨质、脊髓受压引起下肢瘫痪,她出现了下肢肌力丧失,小便失禁等症状。于是,20岁的李丽云每个月都会背着瘫痪的妈妈来长沙市中心医院耐药结核科复查。
得知患者的经济情况不佳,而耐药结核的治疗周期为2年左右,母女俩要负担后期的康复治疗费用,耐药结核科的医护人员便主动协助她们开通了医疗费众筹,还为她们准备了衣物、营养品和尿不湿等生活用品。经过2个月的治疗,王家红病情有所好转顺利出院,母女俩的精神状态也更好了。
出院后,为了方便带母亲到医院复查,李丽云在医院附近租了一个小户型房间,一边在小区当保安值夜班,一边照顾瘫痪卧床的妈妈。转眼一年过去,王家红的下肢终于开始恢复知觉了,这让母女俩备受鼓舞。
“脊柱结核是一种继发性病变,常继发于肺结核、消化道结核及淋巴结核等,好发于人体的脊柱。椎体病变不仅会造成骨质破坏及坏死,还可能造成椎体塌陷,使脊柱形成弯度,棘突隆起,此症状在胸椎结核里表现得尤为明显。一旦椎体塌陷,死骨,就可使脊髓受压,甚至可至截瘫。”该院耐药结核科主任裴异介绍:“王家红不知道自己感染了耐药性肺结核,未及时就医,在身体抵抗力下降的情况下又继发了胸椎结核,引发了下肢瘫痪。”
裴异强调:“脊柱结核在没有出现明显症状时不容易被发现,但如果延误治疗时机,会增加致残率、致死率。因此,市民如果出现胸背痛、腰痛、双下肢麻木无力等症状,应及时就医,尽早排除脊柱结核的可能。”
责编:杨帆93
来源:华声在线



